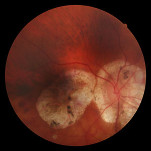
Very little research has been performed on the treatment of myopic macular degeneration , and yet many eye doctors recommend that their own patients with this condition take nutritional supplements. Microscopically, this condition most resembles the Central Geographic Atrophy form of age-related macular degeneration.
Some doctors recommend a combined AREDS2 and DHA-Omega 3 combination, such as VisiVite AREDS2 Select/Nordic Naturals Pro-DHA 1000.
Myopia, also commonly known as near-sightedness, occurs because the eye is longer than average, causing a blurry image on the retina. In healthy myopic people, vision can be corrected using eyeglasses, contact lenses or laser vision correction.
But myopic people have a higher risk of permanent vision loss due to:
- Glaucoma
- Retinal Detachment
- Myopic Macular Degeneration
While glaucoma and retinal detachment are normally treatable by an eye care professional, myopic macular degeneration is not always so. Therefore, prevention of this condition is important.
Unlike age-related macular degeneration, myopic macular degeneration can occur at ages as young as 30 years old. Although treatment for the "dry" form of myopic macular degeneration does not exist, most experts agree that ingestion of high dose nutritional supplements for ocular health may help to support the structure and function of the central retina, known as the macula.
Symptoms of myopic macular degeneration include:
- Blurred vision: Those with nonexudative macular degeneration may by asymptomatic or notice a gradual loss of central vision, whereas those with exudative macular degeneration often notice a rapid onset of vision loss.
- Central scotomas (shadows or missing areas of vision) Distorted vision (i.e. metamorphopsia) - A grid of straight lines appears wavy and parts of the grid may appear blank. Patients often first notice this when looking at mini-blinds in their home.
- Trouble discerning colors; specifically dark ones from dark ones and light ones from light ones.
- Slow recovery of visual function after exposure to bright light.
-
The Amsler Grid Test is one of the simplest and most effective methods for patients to monitor the health of the macula. The Amsler Grid is essentially a pattern of intersecting lines (identical to graph paper) with a black dot in the middle. The central black dot is used for fixation (a place for the eye to stare at). With normal vision, all lines surrounding the black dot will look straight and evenly spaced with no missing or odd looking areas when fixating on the grid's central black dot. When there is disease affecting the macula, as in macular degeneration, the lines can look bent, distorted and/or missing.
Amsler Grid
- Vision loss' or 'blindness' in macular degeneration refers to the loss of 'central vision' only. The peripheral vision is preserved. Blindness in macular degeneration does not mean 'inability to see light' and even with far advanced macular degeneration, the peripheral retina allows for useful vision.
The loss of central vision profoundly affects visual functioning. It is not possible, for example, to read without central vision. Pictures which attempt to depict the central visual loss of macular degeneration with a black spot do not really do justice to the devastating nature of the visual loss. This can be demonstrated by printing letters 6 inches high on a piece of paper and attempting to identify them while looking straight ahead and holding the paper slightly to the side. Most people find this surprisingly difficult to do.













